
University of Michigan slammed for honoring Jack Kevorkian
Cassy Cooke
·
Mother with rare pregnancy complication refuses abortion, gives birth to healthy baby
Despite major advances in science, technology, and medicine, the survival of preborn babies is never a guarantee. In many cases, abortion is recommended to pregnant mothers who are experiencing complications that may lessen the baby’s chance of survival or potentially affect the mother’s health. In such cases, choosing life instead of abortion means providing a chance for the baby instead of absolutely assuring his death — no matter how greatly the odds may be stacked against him.
One mother did just that for her son earlier this year at a hospital in Angers, France.
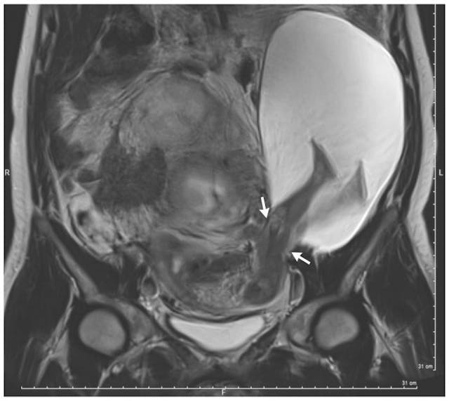
Dr. Pierre-Emmanuel Bouet, an obstetrician at the University of Angers Hospital Center, says he was shocked when he discovered a medical anomaly via ultrasound in one of his patients, a 33-year-old pregnant woman. The woman had an inch-long rupture in her uterus, and the baby’s legs were sticking out through it. Bouet told The Washington Post that such cases are extremely rare, with this instance representing only the 27th such recorded case.
The mother’s ultrasound, showing her son’s legs sticking out of her womb

The cause of the rupture, according to Bouet, was most likely uterine scarring caused by the patient’s five prior C-sections. The scarred area became unusually rigid instead of expanding, resulting in a rupture.
While most women with uterine ruptures may experience pain and internal bleeding, Bouet says that in this case, the baby’s legs (along with the amniocele) served to plug the rupture, blocking internal bleeding. Despite the lack of internal bleeding, risks were still present. In a report on the case published last week in The New England Journal of Medicine, Bouet and colleague Dr. Charlyne Herondelle explained, “The patient and her partner were informed of the potential risks of these findings, including complete uterine rupture [which can suffocate the baby due to a lack of oxygen], placenta accreta, hysterectomy, and preterm birth.”
Article continues below
Dear Reader,
In 2026, Live Action is heading straight where the battle is fiercest: college campuses.
We have a bold initiative to establish 100 Live Action campus chapters within the next year, and your partnership will make it a success!
Your support today will help train and equip young leaders, bring Live Action’s educational content into academic environments, host on-campus events and debates, and empower students to challenge the pro-abortion status quo with truth and compassion.
Invest in pro-life grassroots outreach and cultural formation with your DOUBLED year-end gift!
Bouet told The Washington Post that due to the risks, he recommended an abortion at 22 weeks of gestation. [Notably, this is an age where a good percentage of babies can survive if delivered early.] Despite the uncertainty surrounding the pregnancy, the mother refused abortion.
An abortion at 22 weeks is considered late-term. Former abortionist Dr. Anthony Levatino describes one of the most common types of abortion at this gestational age, a D&E:

The woman did choose to be monitored by doctors while her pregnancy lasted, and eight weeks later, this mother who refused abortion gave birth to a baby boy, delivered via C-section just like his siblings.
“The newborn was born healthy,” says Bouet. “He was premature, but healthy.” In last week’s report in The New England Journal of Medicine, Bouet and Herondelle revealed that the mother recovered well following the delivery, and was discharged from the hospital five days after. In addition to the mother’s successful recovery, Bouet and Herondelle report that at 6 months old, the baby boy is “alive and well.”
Editor’s Note: Abortion is often recommended in a wide variety of situations involving fetal or maternal health issues. However, when parents choose life, they are sometimes able to participate in research that increases the chances of life for their child and more children in the future. Additionally, medical teams are often able to provide excellent care for mother and child in high-risk pregnancies when they are asked to do so. Dr. Levatino explains in this video why abortion is not ever medically necessary, due to the advances of modern medicine.
Live Action News is pro-life news and commentary from a pro-life perspective.
Contact editor@liveaction.org for questions, corrections, or if you are seeking permission to reprint any Live Action News content.
Guest Articles: To submit a guest article to Live Action News, email editor@liveaction.org with an attached Word document of 800-1000 words. Please also attach any photos relevant to your submission if applicable. If your submission is accepted for publication, you will be notified within three weeks. Guest articles are not compensated (see our Open License Agreement). Thank you for your interest in Live Action News!

Cassy Cooke
·
Human Interest
Angeline Tan
·
Human Interest
Bridget Sielicki
·
Human Interest
Nancy Flanders
·
Human Interest
Nancy Flanders
·
Human Interest
Nancy Flanders
·
Issues
Danny David
·
Issues
Danny David
·
Newsbreak
Danny David
·
Newsbreak
Danny David
·
Human Interest
Danny David
·