
Vatican Nativity scene sends a strong pro-life message for Christmas
Angeline Tan
·
Unborn child’s heartbeat “the most beautiful music,” says Beyoncé

Beyoncé Knowles, whose career is at a climax, recently opened up about the loss she experienced following a miscarriage before conceiving her daughter, Blue Ivy. Being pregnant, Beyonce reminisced, was so exciting that [t]here’s no words that can express having a baby growing inside of you[.] She recalled hearing the baby’s heartbeat, saying that it was the most beautiful music I ever heard in my life. A powerful statement, since it comes from one of the most beautiful voices in music today.
Losing a baby, she recalled, was as painful as pregnancy had been joyous. At a routine checkup, she learned of the passing of her child: there was no heartbeat. Beyoncé is slated to open up more about her loss in her upcoming HBO documentary, entitled Life is But a Dream. Beyoncé went on to carry a healthy pregnancy to term shortly after her miscarriage.
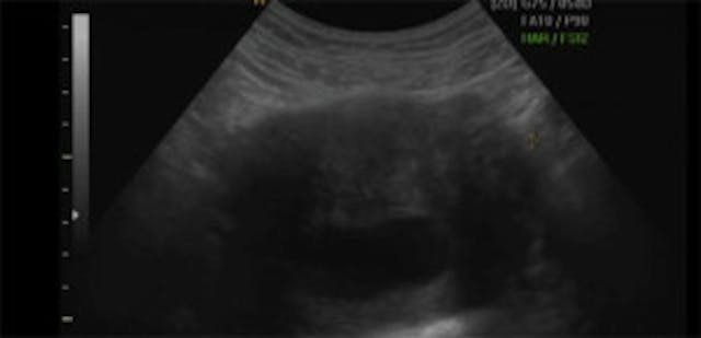
Sonogram of Knowles’ daughter Blue Ivy.

Some states work to pass legislation requiring doctors to play the most beautiful music – the baby’s heartbeat – before allowing a woman to proceed with her abortion. Maybe Beyoncé’s example will help other women to realize how precious that rhythmic, rapid little sound really is and the tragedy that occurs when that music stops, especially when it is made to stop at a mother’s request (as in abortion) rather than in spite of her love (as in miscarriage).
Video of human heartbeat in the 5th week of development:
Live Action News is pro-life news and commentary from a pro-life perspective.
Contact editor@liveaction.org for questions, corrections, or if you are seeking permission to reprint any Live Action News content.
Guest Articles: To submit a guest article to Live Action News, email editor@liveaction.org with an attached Word document of 800-1000 words. Please also attach any photos relevant to your submission if applicable. If your submission is accepted for publication, you will be notified within three weeks. Guest articles are not compensated (see our Open License Agreement). Thank you for your interest in Live Action News!

Angeline Tan
·
Issues
Bridget Sielicki
·
Issues
Nancy Flanders
·
Politics
Bridget Sielicki
·
Issues
Sheena Rodriguez
·
Guest Column
Right to Life UK
·
Human Interest
Lauren Enriquez
·
Activism
Lauren Enriquez
·
Activism
Lauren Enriquez
·
Activism
Lauren Enriquez
·
Lauren Enriquez
·