
Hearse arrives at Illinois Planned Parenthood to 'pick someone up'
Nancy Flanders
·
Guest Column·By Kristen McKinnis
I had treatment for a devastating ectopic pregnancy and know it was not an ‘abortion’
Disclaimer: The opinions expressed in this guest post are solely those of the guest author. Minor edits have been made for clarity.
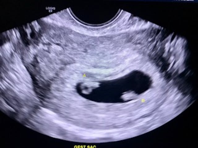
On November 16, 2023, I heard the words no mother wants to hear: “Kristen, your pregnancy is in your tubes.”
I do not have words to describe how my heart shattered in that moment, as I put my face in my hands and sobbed right there in the exam room. But this was not the first time I had received devastating news about one of my babies.
In June 2020, I found out I was pregnant for the first time. I was 27, healthy, and in a stable marriage, so I had no reason to expect any issues, besides the normal changes and challenges that come with becoming a mother.
I made it to six weeks and five days in that pregnancy, until one night I was shocked to discover bright red blood everywhere — more than I had ever seen in my life. I was terrified and heartbroken. I knew I must be having a miscarriage, and we drove to the ER in a panic. After a few hours of waiting, I was elated and overwhelmed when an ultrasound technician turned her screen towards me and showed me TWO perfect babies. Twins! Little heads; little nubs for arms and legs. Fluttering heartbeats — the most beautiful sight and sound.

That panicked night at the ER, my whole mindset shifted. Any fears of impending change fell away as soon as I saw my babies.
I will do whatever it takes, whatever it means, to bring my babies here and raise them.
Devastated by miscarriage
I now cherish that memory and the precious ultrasound photo of my babies from the only time I saw them both alive. A little over a month later, at the end of my first trimester, I found myself back at the same ER, all alone and bleeding profusely. My worst fears were realized in the doctor’s calloused words: “So, the ultrasound only shows one baby….”
I was devastated. The loss was very difficult for me to process, but it was only the beginning of hard times. The miscarriage led to complications with my placenta, and I continued to hemorrhage for several months of my pregnancy. I was placed on complete bed rest for the sake of my remaining baby, who was given a 50% chance of survival. But Elliana did survive and is now almost three years old — our precious miracle baby.
I spent several years reeling emotionally from the mixed tragedy and miraculous blessing of that first pregnancy. My husband and I felt ready to try again for another baby in 2023, and we were thrilled (and a little nervous) to learn that I was pregnant again in October. A week or so after the positive test, I started spotting, and the bleeding increased over the following week. Given my history of bleeding in pregnancy, I wasn’t sure how much concern was rational. However, deep down, I had an impending sense that something was very wrong.
I had trouble eating, didn’t want to be alone, and thought I might die in my sleep. I had the word “ectopic” inexplicably swirling in my mind. I realize now that this “gut feeling” was legitimate, and that the Lord was preparing me for what was to come.

Heartbroken by an ectopic pregnancy
And on November 16, 2023, there I was again. Six weeks into pregnancy, sitting in a doctor’s office. This time, I was faced with the frightening diagnosis of an ectopic pregnancy.
As I talked with the doctor, I learned the gravity of my situation — I was bleeding internally and was very close to a ruptured Fallopian tube. A rupture would kill the baby and likely me as well. Emergency surgery was the only option. I signed the papers, met the surgeon at the hospital, and was in the operating room within an hour.
Article continues below
Dear Reader,
In 2026, Live Action is heading straight where the battle is fiercest: college campuses.
We have a bold initiative to establish 100 Live Action campus chapters within the next year, and your partnership will make it a success!
Your support today will help train and equip young leaders, bring Live Action’s educational content into academic environments, host on-campus events and debates, and empower students to challenge the pro-abortion status quo with truth and compassion.
Invest in pro-life grassroots outreach and cultural formation with your DOUBLED year-end gift!
I understood what the procedure meant. My little baby, who I had just seen an hour before on the ultrasound monitor, would need to be removed from my Fallopian tube. There was no chance that my baby — who was perfectly formed and with a beating heart — would survive the surgery. My signature on those pages meant I would wake up from anesthesia with no baby.
It was an impossible position to be in, but I share this story to help other women in my situation receive the medical care they need without guilt. Treatment for an ectopic pregnancy is not the same thing as an induced abortion and it is legal in every state.
In an ectopic pregnancy, the baby will inevitably die. Death or severe injury to the mother is also inevitable if the pregnancy continues to progress without dissipating on its own. In the situation of an ectopic pregnancy, it is never possible to save the baby’s life, but it is usually possible to save the mother’s life.
This is a very different issue than an abortion, which intends to purposely kill a preborn baby.

Abortion is always wrong
Becoming a mother in 2021 strengthened my conviction that abortion is wrong without exception. The obvious parallel between my twins speaks volumes. Eden, who died preborn, was no less valuable than Elliana, who survived and was born full-term. If Eden had survived, she would be Elliana’s age — talking, singing, dancing, and playing, just like her twin sister.
My miscarried twin was not just valuable because of who she could have become, though that parallel is striking. Eden was valuable because she was human.
With my ectopic pregnancy, I encountered my preborn baby’s humanity in a new way. The surgeon was able to take pictures throughout the laparoscopic procedure, and he sent me home with these photos when I was discharged from the hospital.
READ: Though their three-day marriage ended in tragedy, God brought new life
When I finally felt ready to look at these photos a few weeks later, I saw it all — the distended Fallopian tube, the gestational sac. And then, a sight that took my breath away.
I saw my baby.
She had a head, eyes, little nubs for arms and legs, just like I had seen on the ultrasound of my 6-week twins a few years before… but this was a photo. I was overwhelmed by emotion, but also completely clear on one thing: that is my child.
We named our baby Renee, which means “reborn.” She was never able to be born on this earth, but we know with certainty that she is in the arms of Christ her Creator. In her photo, she is perfect. She is beautiful. She is fully and unquestionably human. Through no fault of her own, she was in the wrong place and could not be saved, much to our grief. May her short life and the stunning photos of her humanity be used to change hearts.
Pre-born babies are valuable, not just because of who they might become, but because of who they are: human beings, from the earliest moment of pregnancy.
Live Action News is pro-life news and commentary from a pro-life perspective.
Contact editor@liveaction.org for questions, corrections, or if you are seeking permission to reprint any Live Action News content.
Guest Articles: To submit a guest article to Live Action News, email editor@liveaction.org with an attached Word document of 800-1000 words. Please also attach any photos relevant to your submission if applicable. If your submission is accepted for publication, you will be notified within three weeks. Guest articles are not compensated (see our Open License Agreement). Thank you for your interest in Live Action News!

Nancy Flanders
·
Guest Column
Right to Life UK
·
Guest Column
Mark Lee Dickson
·
Guest Column
Mark Lee Dickson
·
Guest Column
Dave Andrusko
·
Guest Column
Elizabeth Sutcliffe
·