
A growing number of Americans call themselves ‘pro-choice’ – but what’s really behind it?
Nancy Flanders
·We are urgently seeking 500 new Life Defenders (monthly supporters) before the end of October to help save babies from abortion 365 days a year. Your first gift as a Life Defender today will be DOUBLED. Click here to make your monthly commitment.

Did Emily Letts fake her abortion video?
Emily Letts’ now infamous abortion video shocked people on both sides of the abortion debate, with even some pro-abortion advocates arguing that this video went too far over the line. But now, questions are starting to surface about the entire situation: was the video, in fact, faked?
Kristen Iglesias at Clash Daily brings up a number of puzzling questions which casts doubt onto Letts’ story. The inconsistencies and strange coincidences keep adding up, so could it be possible that Letts, with the help of her employers at the Cherry Hill Women’s Center, fabricated the video?
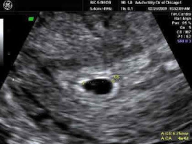
The first, and most damning, piece of evidence to come to light is that Emily Letts is a failed actress. It also turns out that the Abortion Care Network held an “abortion stigma busting competition”, which had a cash prize for the winners. And yes, her video won. Letts also claimed to be only two to three weeks pregnant — highly suspicious no matter which way you look at it. She never said whether it was two to three weeks after her last menstrual period, which would be far too early to measure a pregnancy via ultrasound. And an ultrasound is how doctors determine gestational age. So was it two to three weeks after conception, or two to three weeks after her last menstrual period? If it was two to three weeks after conception, that would actually make her about five weeks pregnant. But seeing anything at five weeks pregnant via an ultrasound is extremely difficult — yet Letts claims that she has an ultrasound photo of the baby she killed, a photo she says she will treasure forever. This is what an ultrasound would look like at the stage of pregnancy she claimed to be at:

And while Letts claims that she chose to have a surgical abortion specifically for the sake of doing this video, that also seems hard to believe. In order to have an aspiration abortion, a woman has to be at least six weeks pregnant — but many abortions performed that early are not surgical abortions.
Dear Reader,
Every day in America, more than 2,800 preborn babies lose their lives to abortion.
That number should break our hearts and move us to action.
Ending this tragedy requires daily commitment from people like you who refuse to stay silent.
Millions read Live Action News each month — imagine the impact if each of us took a stand for life 365 days a year.
Right now, we’re urgently seeking 500 new Life Defenders (monthly donors) to join us before the end of October. And thanks to a generous $250,000 matching grant, your first monthly gift will be DOUBLED to help save lives and build a culture that protects the preborn.
Will you become one of the 500 today? Click here now to become a Live Action Life Defender and have your first gift doubled.
Together, we can end abortion and create a future where every child is cherished and every mother is supported.
But the most suspicious part of all seems to be that Letts claimed that she had been sleeping with multiple men, without using protection. Not only did Letts claim to eschew using hormonal birth control, she also said that she didn’t use condoms with any of her partners. It seems unlikely that a woman who works at an abortion clinic wouldn’t be knowledgeable about the important of birth control, and she certainly had access to whatever she wanted.
Now, Emily Letts’ video has gone viral, she’s gotten her 15 minutes of fame, and may very well be the next Sandra Fluke, and she won a contest which garnered her a cash prize. Her abortion clinic also got their name out there, possibly garnering them plenty of donations and press from fawning pro-abortion advocates who applauded Letts as brave and strong. Such a coincidence that Letts just happened to get pregnant in time for the contest, and that she took a pregnancy test exactly when it was possible to get a positive result, was able to get an immediate ultrasound, and then within a matter of days have a video edited and packaged together to be entered into this contest!
What do you think? Was her video fake or real?
Live Action News is pro-life news and commentary from a pro-life perspective.
Contact editor@liveaction.org for questions, corrections, or if you are seeking permission to reprint any Live Action News content.
Guest Articles: To submit a guest article to Live Action News, email editor@liveaction.org with an attached Word document of 800-1000 words. Please also attach any photos relevant to your submission if applicable. If your submission is accepted for publication, you will be notified within three weeks. Guest articles are not compensated (see our Open License Agreement). Thank you for your interest in Live Action News!

Nancy Flanders
·
Analysis
Cassy Cooke
·
Analysis
Cassy Cooke
·
Analysis
Cassy Cooke
·
Analysis
Nancy Flanders
·
Eugenics
Cassy Cooke
·
Analysis
Cassy Cooke
·
Analysis
Cassy Cooke
·
Analysis
Cassy Cooke
·
Eugenics
Cassy Cooke
·
Analysis
Cassy Cooke
·